Cтоматология, Стоматологические клиники ДентаКласс Cтоматология, Стоматологические клиники ДентаКласс  

Стоматология в центре Москвы

 
Стоматология     Технологии     Скидки, бонусы     Кредитование - беспроцентный кредит     О клинике     Специалисты     Контакты     Вакансии     Отзывы пациентов     Наши работы     Лицензии     Ссылки    

Художественная реставрация




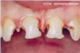
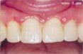
Долгое время люди были практически лишены возможности восстановить утраченные по каким-либо причинам цвет и форму своих зубов, исключая кардинальное протезиование. Кариес на передних зубах, отломы части зуба в результате травмы, осложнения кариеса, пролеченные резорцин-формалиновым методом (который приводит к розовению и хрупкости зубов) почти в 100 % случаев означали невозможность вернуть изначальную белизну, блеск и неповторимость формы зубов. Пломбировочные материалы, которыми пользовались стоматологи, не могли имитировать ткани зуба со всеми особенностями оттенков, прозрачности и многослойности.

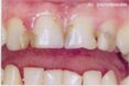
Сейчас с помощью новых композитных пломбировочных материалов стало возможным провести восстановление формы и цвета зуба прямо во рту пациента в одно посещение, то есть провести реставрацию.

Композит - это вещество, которое состоит из вещества наподобие смолы, наполнителя (кварца), стеклоподобного вещества и красителей. Светоотверждаемыми они называются потому, что полимеризуются в нужный для врача момент с помощью голубого света специальной лампы. Это очень удобно и позволяет врачу не спешить и моделировать зуб, доводя его микрорельеф до совершенства.

Технология проведения реставрации такова:

  1. После обезболивания зуба врач снимает с него налет щеточкой с полировочной пастой.
  2. Затем он снимает все измененные ткани: выцветшие, пожелтевшие, размягченные, пораженные кариесом и т.д. Это делается высокооборотным турбинным наконечником, который "сверлит" быстро и безболезненно.
  3. Далее врач отграничивает зуб от его "соседей" матрицей - прозрачной полоской, чтобы композит после отверждения не остался на соседних зубах и не налегал на десну.
  4. Потом зубы расклиниваются между собой, чтобы после снятия клинышков зубы плотно прилегали друг к другу и между ними не осталось щелей (весьма вредоносных для десны).
  5. Потом в подготовленную полость кладется прокладку из стеклоиономерного цемента. Она обладает способностью стимулировать восстановление дентина под пломбой (выделяет туда фтор) и защищает нерв в зубе от воздействия холодной и горячей температуры.
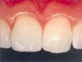
  6. На этом этапе происходит непосредственно реставрация. Пломбировочный материл накладывают послойно: прежде всего, накладывают непрозрачные слои, чтобы маскировать все ненужные оттенки глубоких тканей зуба, а затем накладывают слои дентинной массы, т.е. имитирующей основную массу зуба.
  7. Завершает реставрацию не менее важный этап - шлифовка и полировка. Шлифовка - это снятие бором излишков материала (если они вообще есть), уточнение формы реставрации и подгонка по прикусу (чтобы пломба была вровень с соседними зубами, доставала до противоположных и в то же время не завышала). Полировка - процесс, без которого пломба будет матовой и со временем изменит цвет.

Назад