 |
Эстетическая стоматология: художественная реставрация зубов



 |
Долгое время многие люди были лишены возможности не только произвести художественную реставрацию утраченного по каким-либо причинам цвета своих зубов, но и измененить не правильную форму отдельно взятых зубов не прибегая к кардинальному протезиованию.
Кариес на передних зубах, отломы части зуба в результате травмы, осложнения кариеса, пролеченные резорцин-формалиновым методом (который приводит к розовению и хрупкости зубов) почти в 100% случаев означали невозможность вернуть изначальную белизну, блеск и неповторимость формы зубов. Пломбировочные материалы, которыми пользовались стоматологи, не могли имитировать ткани зуба со всеми особенностями оттенков, прозрачности и многослойности.
Сейчас с помощью новых композитных материалов стало возможным провести полную реставрацию зубов, восстановить их первоначальные форму и цвет, придать вашим зубам так называемую "голливудскую улыбку".
|
|
 |
|
Композитные материалы - это составы, состоящие из веществ наподобие смолы, наполнителя (кварца), стеклоподобного вещества и красителей. Иногда их так же называют светоотверждаемыми, поскольку они обладают способностью полимеризоваться в нужный для врача момент с помощью голубого света специальной лампы. Это очень удобно, поскольку позволяет врачу не спешить и моделировать реставрируемый зуб, доводя его микрорельеф и эстетические свойства до совершенства.
|
Технология проведения реставрации зубов такова:
- После обезболивания, врач снимает с реставрируемого зуба налет специальной щеточкой с полировочной пастой.
- Затем, он снимает все измененные ткани зуба: выцветшие, пожелтевшие, размягченные, пораженные кариесом и т.п. участки. Это делается высокооборотным турбинным наконечником, который работает быстро и безболезненно.
- Далее врач отграничивает реставрируемый зуб от его "соседей" матрицей - прозрачной полоской, чтобы в дальнейшем, после отверждения, композитный материал не остался на соседних зубах и не налегал на десну.
- Потом зубы расклиниваются между собой, чтобы после снятия клинышков восстановленные зубы плотно прилегали друг к другу и между ними не осталось щелей (весьма вредоносных для десны).
- В подготовленную полость кладется прокладка из стеклоиономерного цемента. Она обладает способностью стимулировать восстановление дентина под пломбой (выделяя туда фтор) и защищает зубной нерв от воздействия резких температур (горячие или холодные напитки и т.п.).
- На этом этапе происходит непосредственно реставрация зуба. Пломбировочный материл накладывают послойно: прежде всего, накладывают непрозрачные слои, чтобы маскировать все ненужные оттенки глубоких тканей зуба, а затем накладывают слои дентинной массы, имитирующей основную массу реставрируемого зуба и придающей зубу приятный этетический вид.
- Завершает реставрацию не менее важный этап - шлифовка и полировка. Шлифовка - это снятие бором излишков материала (если они есть), уточнение формы реставрации и подгонка по прикусу, (чтобы пломба была вровень с соседними зубами, доставала до противоположных и в то же время не мешала). Полировка - процесс, без которого пломба будет матовой, со временем изменит цвет и вся работа потеряет свою эстетическую ценность.
В нашей клинике вы можете отреставрировать поврежденный зуб и вернуть ему эстетическую ценность всего за один день!
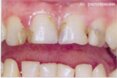
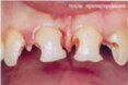
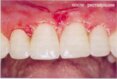
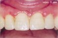
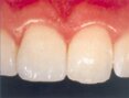
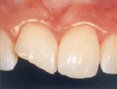
Наши работы
Назад
|
 |