|
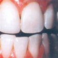
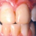
Для фиксации ортопедических конструкций в эстетической стоматологии традиционно применяются цинк-фосфатные или поликарбоксилатные цементы. Но в последнее время нами стали применяться более совершенные стеклоиономерные цементы, адгезивные цементы на основе смолы и их комбинации. Приемущество их в том, что они могут быть соединены не только с подготовленными тканями рестврируемого зуба, но и со всеми компонентами, участвующими в этом процессе. Следовательно, значительно увеличивается уровень прочности всей конструкции реставрируемого зуба.
Использование композитных цементов становится просто необходимым при фиксации таких полностью керамических бескаркасных коронок, как изготовленных из Empress. Цементы, применяемые без адгезивных систем, вызывают образование локальных точек концентрации напряжений в момент приложения нормальной жевательной нагрузки на отреставрированном зубе. Очень часто это приводит к сколам таких керамических реставраций. Адгезивное соединение дает более равномерное распределение этой нагрузки. В результате, количество сколов при использовании последних значительно ниже, а соответственно долговечность и эстетическая ценность всего реставрируемого зуба.
По данным клинических испытаний, композитные цементы более толерантны в отношении зазора между реставрацией и тканями зуба. Зазор в 75-100 мкм при использовании цинк-фосфатного цемента может привести к последовательному растворению цемента, т.е. к образованию вторичного кариеса. Следовательно, необходимо фиксировать такие реставрации к отпрепарированным зубам при помощи композитных адгезивных систем. Более того, с целью контроля распределения напряжений, необходимо использовать цементы, которые обладают теми же показателями эластичности, что и ткани зуба, и материал, из которого производится его реставрация.
Таким образом, можно утверждать, что процесс фиксации безметалловых реставраций в эстетической стоматологии должен неразрывно ассоциироваться с применением композитных адгезивных цементов. Применение же других цементов лишь приведет к снижению продолжительности необходимого клинического эффекта и, в конечном счете, к повторной реставрации зуба.
|


 |