Керамические виниры и керамические безметалловые реставрации на адгезиевых светоотверждаемых материалах - NEW
 |
 |
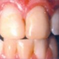
| До |
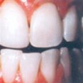
После |
Прямые виниры
Микроматричный реставрационный материал "Эстет Икс" уникален, потому что он сохраняет гладкость поверхности. Независимое исследование воссоздающее 5 лет пребывания материала во рту показало, что "Эстет Икс" сохранил гладкость поверхности наравне с ведущими микрофильными материалами.
 |
1. Выбор оттенка
Выберите зуб-макет из оттененной шкалы Эстет ИксТгчМа1сгг, который больше всего соответствует оттенку естественного зуба пациента. Посмотрите на обратной стороне подставки для оттеночной шкалы или на серебристом оттеночном макете композиционную раскладку ("рецепт") использованную при создании избранного вами макета-зуба. Опаковые оттенки дентина скроют потемнения зубов в реставрациях класса IV Средние оттенки тела придадут естественную прозрачность и цвет реставрации. Прозрачные оттенки эмали создадут естественно-выглядящие инцизальные края.
|
 |
2. Препарирование
Если обесцвечивание зуба вызвано старой реставрацией удалите старую реставрацию бором. Препарируйте зуб, удалив тонкий слой эмали, закончив обработку закруглением или скашиванием краёв. На подготовляемом зубе нужно сохранить как можно больше эмали.
|
 |
2А. Обесцвеченный зуб - 3-х слойная техника
При восстановлении серьёзно обесцвеченных зубов, препарируйте зуб на глубину как минимум 0,75 мм, для того чтобы использовать технику, предусматривающую наложение трёх слоев, с использованием маскирующих преимуществ опаковых оттенков дентина Эстет Икс. Сохраняйте как можно больше эмали.
|
2В. Не-обесцвеченный зуб - 2-х слойная техника
Не обесцвеченный зуб не требует нанесения маскирующего слоя. Препарируйте зуб на глубину 0,5 мм для применения 2-х слоимой техники с использованием реставрационного материала Эстет Икс (Средний оттенок тепа и прозрачный оттенок эмали).
|
 |
3. Травление
Протравите эмаль в течение 15 секунд, а дентин в течение 15 секунд или меньше. Смывайте гель для травления в течение 10 секунд, Удалите излишки воды лёгкой струёй воздуха, но не пересушивайте дентин. Поверхность должна оставаться влажной.
|
 |
4. Нанесение адгезива
Нанесите достаточное количество Прайм энд Бонд Эн-Ти на тщательно увлажнённую поверхность. Выждите 20 секунд. Удалите излишки раствора лёгкой струёй воздуха в течение 5 секунд. Поверхности должны иметь однородный, блестящий вид. Заполимеризуйте в течение 10 секунд. Если поверхности не блестят, повторите действия пункта.
|
 |
4А. Нанесение слоя оттенка опакового дентина Эстет Икс
Техника в 3 слоя:
Нанесите тонкий слой оттенка опакового дентина Эстет Икс и смажьте к инцизальному краю. Заполимеризуйте в течение 20 секунд. Переходите к пункту 4В.
|
4В. Нанесение среднего оттенка тела зуба Эстет Икс
Техника в 2 слоя:
Нанесите слой среднего опенка тела Эстет Икс и смажте к инцизальному краю. Заполимеризуйте в течение 20 секунд.
|
 |
5. Нанесение слоя оттенка прозрачной эмали Эстет Икс
Завершите 2-х елочный или 3-х слойный цикл нанесением конечного слоя прозрачного оттенка эмали Эстет Икс. Смажте полностью вокруг инцизального края. Заполинеризуйте в течение 20 секунд.
|
 |
6. Финишная обработка
-
Придайте окончательную анатомически-правильную форму реставрации при помощи финишного бора или алмазного финишного бора.
-
Продолжите финишную обработку дисками, чашками или наконечниками Энханс8 Агрессивность дисков Энханс контролируется уровнем давления прилагаемого к реставрации. Чем больше давление, тем больше материала удаляется при этом. Более лёгкое давление оставляет поверхность гладкой.
|
|
 |
7. Полирование
-
Завершите процесс полированием с использованием резиновых чашек Энханс и обычной пастой для полирования Призма-Глосс. Начните обработку с сухой реставрации (10 секунд). Добавьте каплю воды и продолжайте полировать ещё 10 секунд. Промойте зуб и резиновую чашку.
-
Нанесите в чашку пасту Призма-Глосс Экстрафайн. Вначале полируйте поверхность всухую (10 секунд), а затем добавляйте всё больше и больше воды и полируйте 15-30 секунд для получения окончательного блеска. /p>
|
 |
8. Окончательное полирование
Микро-матричный реставрационный материал Эстет Икс был разработан, чтобы обеспечивать высокий уровень блеска поверхности, чтобы имитировать естественную эмаль. Материал Эстет Икс уникален, потому, что он СОХРАНЯЕТ блеск в течение долгого времени', в отличие от других гибридных материалов. Настоятельно рекомендуете полностью. Завершать полироавание реставрации Эстет Икс пастами для полирования Призма-Глосс.
|
Наши работы
Назад
|