Cтоматология, Стоматологические клиники ДентаКласс Cтоматология, Стоматологические клиники ДентаКласс  

Стоматология в центре Москвы

 
Стоматология     Технологии     Скидки, бонусы     Кредитование - беспроцентный кредит     О клинике     Специалисты     Контакты     Вакансии     Отзывы пациентов     Наши работы     Лицензии     Ссылки    

Ортодонтия

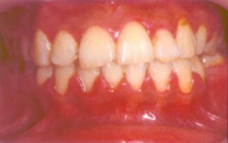
До
После
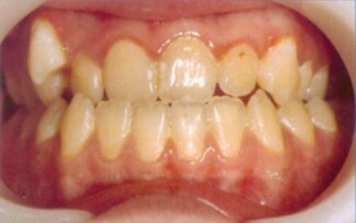
До
После
До
После
До
После
До
После
Услуги и цены

Rambler's Top100